Advanced Dental Implant Technology in Tottenham — The Tools Behind Better Outcomes

At Simcoe Dental Implants in Tottenham, we invest heavily in technology because we believe it directly improves your outcomes. The tools we use allow us to plan more precisely, operate more safely, heal faster, and achieve more natural-looking, long-lasting results !

 

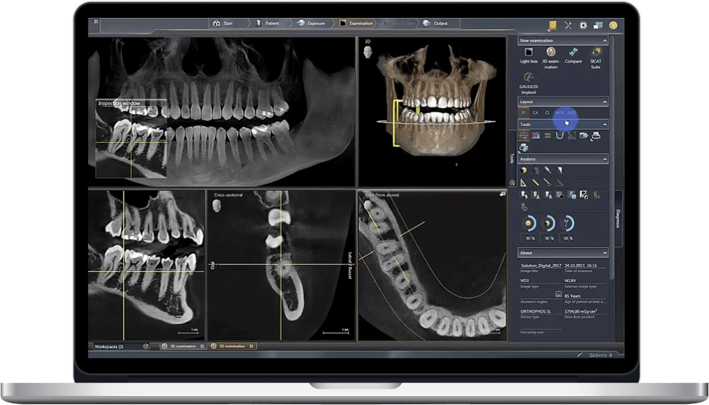
1. CBCT (Cone Beam Computed Tomography):

Our in-house Cone Beam CT (CBCT) scanner produces a detailed, three-dimensional model of your oral anatomy — your jawbone, sinuses, nerves, and teeth — in a single, low-radiation scan that takes less than a minute.

Unlike conventional 2D X-rays, CBCT imaging shows us the precise volume and density of your bone, the exact location of your inferior alveolar nerve, and the proximity of your sinuses to the planned implant sites.

2. Digital Scanning and Impressions:

Say goodbye to messy traditional molds. We’ve replaced impression putty with precision intraoral digital scanning. A full 3D model of your teeth and bite is captured in minutes — no gagging, no distortion. Digital impressions are more accurate and transmit instantly to our design software.

Our digital scanning and impression techniques provide a comfortable, efficient experience. By capturing highly detailed digital impressions, we enhance accuracy, resulting in better-fitting restorations and improved overall outcomes. 

3. Digital Treatment Planning Software:

Before any surgery, we design your entire procedure digitally. Your CBCT and scan data are combined into a 3D plan showing the precise angle, position, and depth of every implant. Every decision is made in advance — not during surgery. This plan also drives your custom surgical guide.

 

 4. In-House CAD/CAM Lab: 

Experience the convenience of our in-house CAD/CAM lab, where precision meets efficiency.  Our advanced milling and design equipment allow us to create dental restorations with unmatched accuracy.  This reduces turnaround time, lowers costs, and ensures the highest quality results. Patients receive lab-quality restorations at a fraction of the cost

 

 5. 3D Printing: 

We embrace 3D printing technology to fabricate temporary teeth, surgical guides, and implant components.  This innovation enhances efficiency, significantly lowers costs, and ensures durable, precisely fitting restorations. You’ll never be left without teeth—temporary restorations can be printed the same day.

 

6. PRF (Platelet-Rich Fibrin): 

PRF is made from a small sample of your own blood, concentrated into a membrane applied to the surgical site. It accelerates healing, reduces post-operative swelling, and supports bone regeneration. No risk of rejection — it comes from you. Especially valuable in bone grafting and full-arch cases.

7. Fully Guided Surgery: 

Nervous about implant surgery? A custom surgical guide fabricated from your digital plan mechanically constrains the drill to follow the exact planned trajectory — controlling angle, depth, and position from first drill to final implant seating. For complex multi-implant cases, guided surgery is what makes predictable outcomes possible.

 

8. Low-Level Lasers: 

We apply low-level laser therapy to surgical sites after implant placement. It stimulates healing, reduces inflammation, and lessens post-operative swelling and discomfort — painlessly and in minutes. Patients typically need less pain medication and recover more quickly.

9. Intraoral Photogrammetry. 

We use intraoral photogrammetry to capture the precise 3D position of each implant across the full arch — achieving sub-millimetre accuracy that conventional impressions and digital scans cannot match. Small reference bodies are attached to each implant and photographed from multiple angles. The software triangulates the exact spatial position of every implant, generating a perfectly accurate digital model for prosthetic design. This technology is essential for full-arch cases (All-on-4, All-on-6), where a passive-fitting prosthesis across multiple implants demands the highest level of precision. The result is a better-fitting restoration, fewer adjustments, and greater long-term stability.

10. General Anesthesia/Sedation: Your comfort is our priority. Our clinic is among the few in Ontario licensed by the Royal College of Dental Surgeons of Ontario (RCDSO) to provide Type 2 Sedation and General Anesthesia. Our in-house operating room is equipped with state-of-the-art anesthesia and sedation technology, ensuring a safe, stress-free, and painless experience. Our skilled anesthesia team monitors your well-being throughout every step.

Choose Simcoe Dental Implants for an experience where technology and expertise converge to give you the healthiest smile possible. Discover the future of dentistry—today.